مآسي وويلات لا يعلم بها الا الله..أطباء في الخليل يحذرون من كارثة صحية
"إذا تمكن منك هذا المرض فستحاول جاهدا إدخال الهواء لرئتيك و لكنك لا تستطيع، ستحاول التنفس بسرعة أكثر فأكثر و لكن ستبدأ لاحقا في الشعور بالفشل في عضلات تنفسك التي ستنهار".
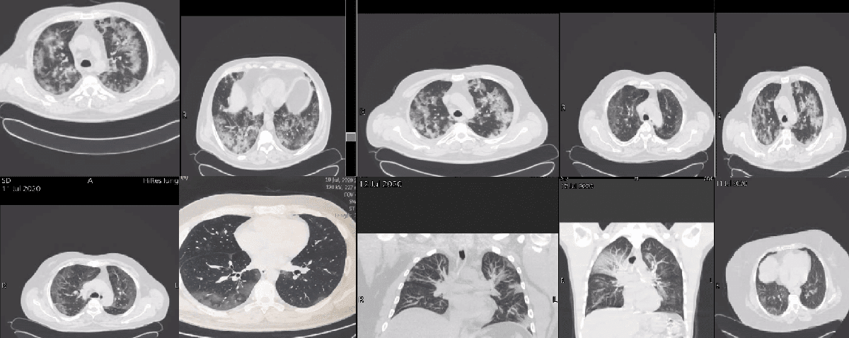
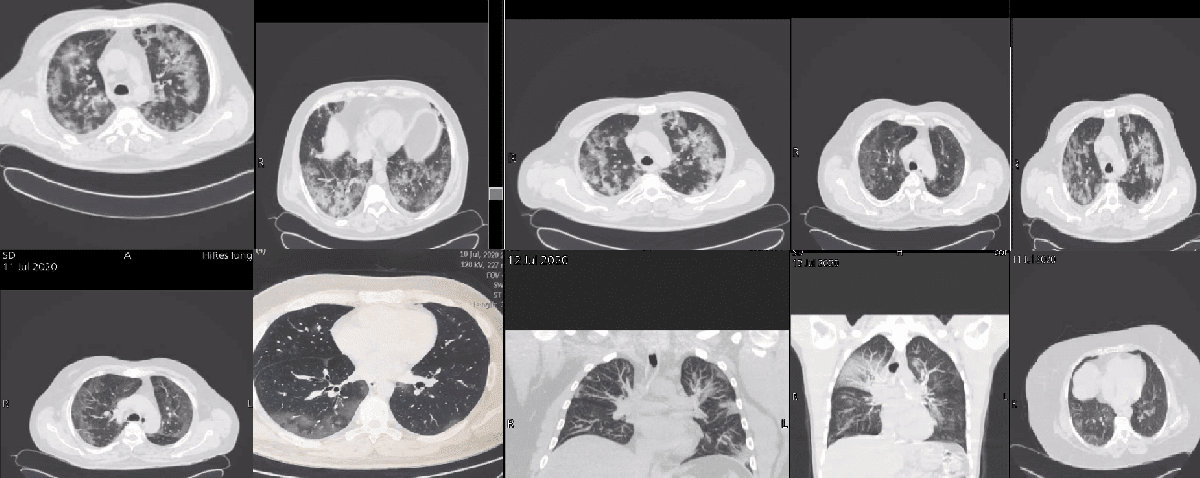
صدى نيوز - متابعة خاصة: بعد تردي الوضع في مدينة الخليل وتفشي فيروس كورونا فيها حذر عدد من الاطباء من كارثة صحية ستصيب الخليل اذا بقيت الامور كما هي عليه الان.
وقال الدكتور اشرف الجندي" بصراحة مطلقة سمّي المرض كما شئت و لكن إذا وصل عندك فسيفرض قانونه عليك فسترتفع درجة حرارة جسمك و ستستمر في الإرتفاع حتى تظن أن جبهتك أمام فرن ، سوف تسعل بشدة وستصاب بإرهاق وتعب شديد حتى تصبح ذابلا كأنك جثة".
واضاف الطبيب الجندي" كل مرة تسعل فيها ستشعر بألم حاد في صدرك و ذراعيك و عينيك ، إذا توقف الأمر عند هذه المرحلة فأنت من المحظوظين، و لكن إذا تمكن منك هذا المرض فستحاول جاهدا إدخال الهواء لرئتيك و لكنك لا تستطيع، ستحاول التنفس بسرعة أكثر فأكثر و لكن ستبدأ لاحقا في الشعور بالفشل في عضلات تنفسك التي ستنهار".
وتابع : ستشعر بالقلق و الخوف من الموت القريب منك ، حينها سأتدخل أنا وزملائي و نحاول وضع قناع تنفس على أنفك لتزويدك بالأكسجين الذي لم تعد رئتك قادرة على الحصول عليه وإذا لم يساعدك ذلك وبدأت حالتك في التأزم سأقوم بإدخال أنبوب عبر حلقك، ستشعر بألم شديد و اختناق عند إدخاله، لن أتوقف عند ذلك بالطبع سأواصل إدخاله حتى يصل لنهاية قصبتك الهوائية ولن تستطيع الكلام أو الأكل أو الشرب ".

واضاف " ستكون وحيدا على سرير الإنعاش ولن يستطيع أحد الإقتراب منك ولا الحديث معك ماعدا الأطباء و الممرضين الذين يلبسون ثيابا أشبه بلباس رواد الفضاء خوفا من أن تنتقل لهم العدوى، عائلتك و حتى أقرب الناس إليك سيكونون بعيدين عنك، سوف يضيق تنفسك أكثر ، وقد يتوقف هذا المرض عند أي مرحلة مما سبق حسب مقاومة جهاز مناعتك ، و قد يصيب أحد الأعزاء عليك و يتمكن منه لكن كل هذا كان يمكنك تجنبه لو التزمت بتعليمات سلامة (كمامة، تعقيم، تباعد 1.5 متر) .
من جهته الاخصائي في امراض الرئة والجهاز التنفسي الدكتور خليل كريم قال " تختار الحكومات بالشراكة مع التوصيات العلمية والاقتصادية الاليات لمواجهة الفايروس اما بالاغلاق التام او الاغلاء التام المتقطع او الاغلاء الجزئي المتقطع ، ولم يعد خيار مناعة القطيع مطروحاً لمواجهة الفايروس لا بل اثبت التجارب انه عمل غير اخلاقي وسيؤدي لوفيات لا حصر لها ولكن الامر في الخليل لم يعد اختيارياً ، فمناعة القطيع هي امر حتمي لا محالة ".
واضاف " ستدخل الخليل التاريخ فقط من هذا الباب وستصبح التجربة الخليلية تدرس في علم الاوبئة لاخذ العبر من سياسة مناعة القطيع ، واثرها السلبي في حصد الارواح وانهيار النظم الصحية".
وتابع الطبيب المختص لماذا مناعة القطيع شيء حتمي في الخليل؟
١-اكثر من نصف السكان لا يؤمنون بما يسمى بفايروس كورونا ، وبالتالي لا يوجد ادنى معاير الاتزام ، والتزام غيرهم لا قيمة له في ظل عدم التزامهم .
٢-غياب البعد الاخلاقي والديني او حتى الانساني عند بعض المصابين بأن يبقوا بالحجر او العزل ، بل هم يمارسون حياتهم بشكل طبيعي جدا مساهمين بشكل كبير في انتشار الفايروس .
٣- عدد كبير نسبياً من الوفيات بسبب كورونا لم تسجل انها كورونا حيث لم يتسنى عمل الفحص او الاهل رفضوا اصلا عمل الفحص . وطبعاً ما يتبع ذلك من مآتم لهؤلاء المرضى وعدم التزام المخالطين او فحصهم .
٤-تم استنفاذ طواقم الطب الوقائي بشكل كامل واصبح تتبع الحالات المصابه والمخالطين امراً مستحيلاً .
٥-يشرف الطاقم الطبي على عدد كبير من المرضى ولا يتسنى اطلاقاً الالتزام بمعايير السلامه ومنع العدوى لما وصل اليه الطاقم من انهاك .
٦-غياب نظام ضمان اجتماعي او تكافل ، جعل الكثيرين من الساعين للقمة العيش غير ابهين الا بتحصيل قوت يومهم .
٧-حتى ولو اتى قرار عسكري بالاغلاق الشامل ، جزء كبير من السكان يسكن مناطق سي وبالتالي لن تكون هناك جدوى من قرار الاغلاق .
وانهى الطبيب كلامه قائلا "مناعة القطيع امر مفروض في الخليل لا مناص منه . وسنشهد في الايام والأسابيع القادمة مأسي وويلات لا يعلم بها الا الله ، ولن يحول دون ذلك الا معجزة من الله فقط ".
ترمب يحظر دخول من يحملون وثائق صادرة عن السلطة الفلسطينية إلى الولايات المتحدة
نقابة الصحفيين : اعتداءات المستوطنين على الصحفيين تحول بنيوي خطير خلال عام 2025
مقتل جندي إسرائيلي في قاعدة عسكرية
إجماع دولي على دعم فلسطين ورفض الإجراءات الإسرائيلية الأحادية
تقرير أممي: إسرائيل تكثف قمع الصحفيين والمدافعين عن حقوق الإنسان في فلسطين
قبيل لقاء ترمب.. نتنياهو يعقد اجتماعًا الخميس المقبل جلسة بشأن المرحلة الثانية بغزة
الاحتلال يقرر هدم مزيدًا من المنازل في مخيم نور شمس











